TempFIT: Next-Level Temporization for Crowns & Bridges

We are proud to introduce TempFIT, our newly FDA-cleared temporization material, designed to make temporization procedures more reliable, efficient, and comfortable for your patients.

*Samples available upon request.
TempFIT is designed for the fabrication of temporary dental restorations, including crowns, bridges, inlays, onlays, partial crowns, and veneers. lt offers excellent aesthetics and color stability, with a simple and fast handling process.
The resin provides outstanding physical properties, low polymerization temperature for pulp safety, excellent biocompatibility, and is free from unpleasant odor or taste.
Why Temporization Material Matters
Temporization Material is a critical step in restorative dentistry. Well-made temporaries help to:
· Protect pulp and gingiva during the treatment phase
· Maintain occlusion and tooth position after preparation
· Restore esthetics and function immediately
· Guide soft tissue shaping in implant cases for optimal gingival outcomes
· Preview final results in both esthetics and function before definitive restoration

Why choose TempFIT
Reliable Performance:
Fracture-resistant temporaries that stay stable throughout the treatment period
Balanced Handling:
Easy trimming, removal, and re-cementation without compromising durability
Efficient Workflow:
Sets intraorally, in about 1 minute with ample working time for multi-unit cases
Patient Comfort:
MMA-free, odorless, and low exothermic reaction
Esthetic Results:
Natural shade options (A1, A2, A3, A3.5, B1, B3, C2, BL) with a smooth, polishable surface that resists plaque buildup

Smart Advantages for Your Practice
Smart Delivery:
TempFIT is available in an automix system, fully compatible with the PERFIT dispensing gun. Its optimized design ensures minimal material waste, maximizing efficiency.
Cost-Effective Pack Size:
Each 75g cartridge yields approximately 60 single crowns or around 30 three-unit bridges, offering high productivity for daily temporization needs.
Fast & Convenient Chairside Solution:
Simplified workflow allows for quick fabrication of temporary restorations in minutes, enhancing clinical efficiency.

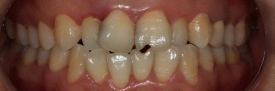
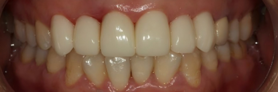
Provisional Aesthetic clinical case
Pre-operative view showing compromised tooth structure and aesthetics.

VS.
Provisional restoration with improved morphology, shade, and gingival harmony.

Be the First to Experience TempFIT!
TempFIT is currently open for sampling worldwide.
Don’t wait—reach out today to request your sample and experience the difference.
English
日本語
français
Deutsch
Español
русский
português