Shandong Huge Dental Material Corporation
Shandong Huge Dental Material Corporation
marketing@hugedental.com

Conservative Posterior Restoration on Tooth #36 in a Patient Under Orthodontic Treatment

Direct Class II Composite Restoration of Endodontically Treated Tooth #36

Clinical case by Cindy Annisa Melati, indonesia

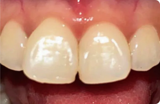
Anterior Aesthetic Restorations

Anterior Aesthetic Restorations
Final situation
Final situation

Basic Information

A 31-year-old male patient presented with a fractured restoration on tooth #36, previously treated endodontically and currently asymptomatic. Adequate coronal dentin remained to support a direct restoration. The clinical objective was to re-establish the proximal wall, restore occlusal anatomy, and ensure a reliable marginal seal.


The restorative procedure involved selective enamel etching with P-Etchant Phosphoric Acid Etching Gel (HUGE), followed by universal adhesive application using HugeBond Universal Light-Cure Dental Adhesive (HUGE). Composite reconstruction was completed using Trusfil Flow Composite and Trusfil Packable Composite (HUGE), allowing precise adaptation and anatomical layering.


Step by Step Workflow

01
01
Tooth Preparation

Minimal removal of defective enamel margins and smoothing of edges.

02
02
Etching

Enamel etching for 20–30 s, dentin etching for 15 s using P-Etchant (HUGE).

03
03
Adhesive Application

Apply HugeBond Universal, scrub 20 s, air-thin, light cure.

04
04
Etching

Enamel etching for 20–30 s, dentin etching for 15 s using P-Etchant (HUGE).

05
05
Adhesive Application

Apply HugeBond Universal, scrub 20 s, air-thin, light cure.

Related Products

Direct Class II Composite Restoration of Endodontically Treated Tooth #36

Thank you for your attention on HUGE

Please fill the form to let us know your need. Our sales will get in touch with you ASAP.